三頭六臂降世破魔,火尖槍舞鬧海除妖
電影中當哪吒擺著有型pose一本正經地介紹“我乃哪吒三太子”或是搞怪耍寶降妖除魔時讓人很難不注意到他那一口“破破爛爛”的牙齒。

雖然是人設或夸張的藝術效果,但也不禁讓我們聯想到現實生活中兒童口腔常見問題
今天我們就來聊聊哪吒的牙齒問題以及家長該如何應對——鯊魚牙+地包天!!!
1、鯊魚牙


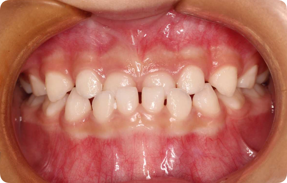
哪吒的牙齒稀疏且參差不齊,類似“鯊魚齒”。這種牙齒形態異常可能是由于乳牙畸形導致的。乳牙畸形的形成既受遺傳因素(基因突變可能會引發少汗性外胚層發育不良(HED)。通常會導致外胚層組織發育異常,造成牙齒缺失或畸形,而現有的牙齒通常較小且呈尖銳狀。)的影響,也與環境因素(長期的維生素D缺乏,可能會造成牙齒發育過程中牙釉質、牙本質形成不全)密切相關。
乳牙畸形可能導致孩子乳牙齲壞、發音不準,甚至影響心理健康。此外,不良習慣如伸舌、吮指、咬唇等也可能導致牙齒間隙異常。
2、地包天


哪吒的牙齒還有一個顯著問題是“地包天”。當閉上嘴巴時,上下牙齒無法正確咬合,這在醫學上被稱為“錯頜畸形”。
其中,以哪吒為代表的III類錯頜畸形患者的下牙明顯突出于上牙,下頜發育過度,也就是我們俗稱的“地包天”。
哪吒雙手插兜吊兒郎當,不時有前伸下頜的俏皮動作,下頜前伸這種習慣非常有可能導致“地包天”牙齒畸形。有研究者認為正確的牙齒咬合對身體姿勢有積極影響,而頭部和頸椎姿勢又反過來影響了牙齒的咬合。哪吒經常性的彎腰駝背,其實是處于上頸椎過度伸展和下頸椎過度屈曲的狀態中,久而久之,就會導致頭部前傾。此時,身體補償的一部分就體現在他的牙齒上。

兒童口腔健康的重要性
兒童的口腔健康不僅影響咀嚼和發音,還可能影響面部發育和自信心。家長應重視孩子的口腔健康,定期帶孩子進行口腔檢查,及時發現并解決口腔問題。

如何應對這些口腔問題呢?
1、應對“鯊魚牙”
如果孩子的牙齒出現類似“鯊魚齒”的情況,家長無需過度干預,但如果到了七八歲后,中切牙牙縫仍未閉合,就需要立即帶孩子到醫院就診,評估是否需要進行早期矯治。
如果孩子的牙齒特別尖,總是劃到舌頭或者臉頰部的黏膜,需要到醫院進行適當的調和。
2、應對“地包天”
如果孩子出現“地包天”,應盡早到口腔科就診。一般情況下,5-12歲是早期干預的黃金時期。
一般來說,發現“地包天”,越早干預矯正,難度越低,效果越好。
溫馨提示:躺著喂奶、咬上唇或下頜前伸、吮指頭等不良口腔習慣可導致孩子牙頜面發育異常,家長應在醫生指導下及時糾正。
雖然是人設或夸張的藝術效果,但也不禁讓我們聯想到現實生活中兒童口腔常見問題
今天我們就來聊聊哪吒的牙齒問題以及家長該如何應對——鯊魚牙+地包天!!!
三頭六臂降世破魔,火尖槍舞鬧海除妖
電影中當哪吒擺著有型pose一本正經地介紹“我乃哪吒三太子”或是搞怪耍寶降妖除魔時讓人很難不注意到他那一口“破破爛爛”的牙齒。

雖然是人設或夸張的藝術效果,但也不禁讓我們聯想到現實生活中兒童口腔常見問題
今天我們就來聊聊哪吒的牙齒問題以及家長該如何應對——鯊魚牙+地包天!!!
1、鯊魚牙


哪吒的牙齒稀疏且參差不齊,類似“鯊魚齒”。這種牙齒形態異常可能是由于乳牙畸形導致的。乳牙畸形的形成既受遺傳因素(基因突變可能會引發少汗性外胚層發育不良(HED)。通常會導致外胚層組織發育異常,造成牙齒缺失或畸形,而現有的牙齒通常較小且呈尖銳狀。)的影響,也與環境因素(長期的維生素D缺乏,可能會造成牙齒發育過程中牙釉質、牙本質形成不全)密切相關。
乳牙畸形可能導致孩子乳牙齲壞、發音不準,甚至影響心理健康。此外,不良習慣如伸舌、吮指、咬唇等也可能導致牙齒間隙異常。
2、地包天


哪吒的牙齒還有一個顯著問題是“地包天”。當閉上嘴巴時,上下牙齒無法正確咬合,這在醫學上被稱為“錯頜畸形”。
其中,以哪吒為代表的III類錯頜畸形患者的下牙明顯突出于上牙,下頜發育過度,也就是我們俗稱的“地包天”。
哪吒雙手插兜吊兒郎當,不時有前伸下頜的俏皮動作,下頜前伸這種習慣非常有可能導致“地包天”牙齒畸形。有研究者認為正確的牙齒咬合對身體姿勢有積極影響,而頭部和頸椎姿勢又反過來影響了牙齒的咬合。哪吒經常性的彎腰駝背,其實是處于上頸椎過度伸展和下頸椎過度屈曲的狀態中,久而久之,就會導致頭部前傾。此時,身體補償的一部分就體現在他的牙齒上。

兒童口腔健康的重要性
兒童的口腔健康不僅影響咀嚼和發音,還可能影響面部發育和自信心。家長應重視孩子的口腔健康,定期帶孩子進行口腔檢查,及時發現并解決口腔問題。

如何應對這些口腔問題呢?
1、應對“鯊魚牙”
如果孩子的牙齒出現類似“鯊魚齒”的情況,家長無需過度干預,但如果到了七八歲后,中切牙牙縫仍未閉合,就需要立即帶孩子到醫院就診,評估是否需要進行早期矯治。
如果孩子的牙齒特別尖,總是劃到舌頭或者臉頰部的黏膜,需要到醫院進行適當的調和。
2、應對“地包天”
如果孩子出現“地包天”,應盡早到口腔科就診。一般情況下,5-12歲是早期干預的黃金時期。
一般來說,發現“地包天”,越早干預矯正,難度越低,效果越好。
溫馨提示:躺著喂奶、咬上唇或下頜前伸、吮指頭等不良口腔習慣可導致孩子牙頜面發育異常,家長應在醫生指導下及時糾正。
雖然是人設或夸張的藝術效果,但也不禁讓我們聯想到現實生活中兒童口腔常見問題
今天我們就來聊聊哪吒的牙齒問題以及家長該如何應對——鯊魚牙+地包天!!!
@2018版權:版權歸屬安琪兒醫療控股集團所有All rights reserved 安琪兒婦產醫院